Um chip implantado no olho permite que pessoas cegas voltem a ler

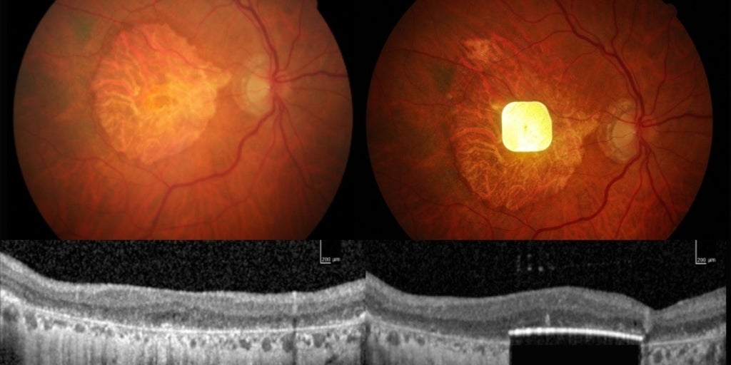
Um pequeno chip sem fio implantado na parte posterior do olho e óculos de alta tecnologia permitiram que 27 pessoas com degeneração macular relacionada à idade (DMRI) voltassem a ler. O implante restaurou parcialmente a visão desses pacientes, que ...
Artigo somente para assinantes
abc


